每天只学一点点 | 早孕期超声检查(1)
更新时间:2025-02-21 00:08:04 来源:?xsh 责任编辑:?xsh
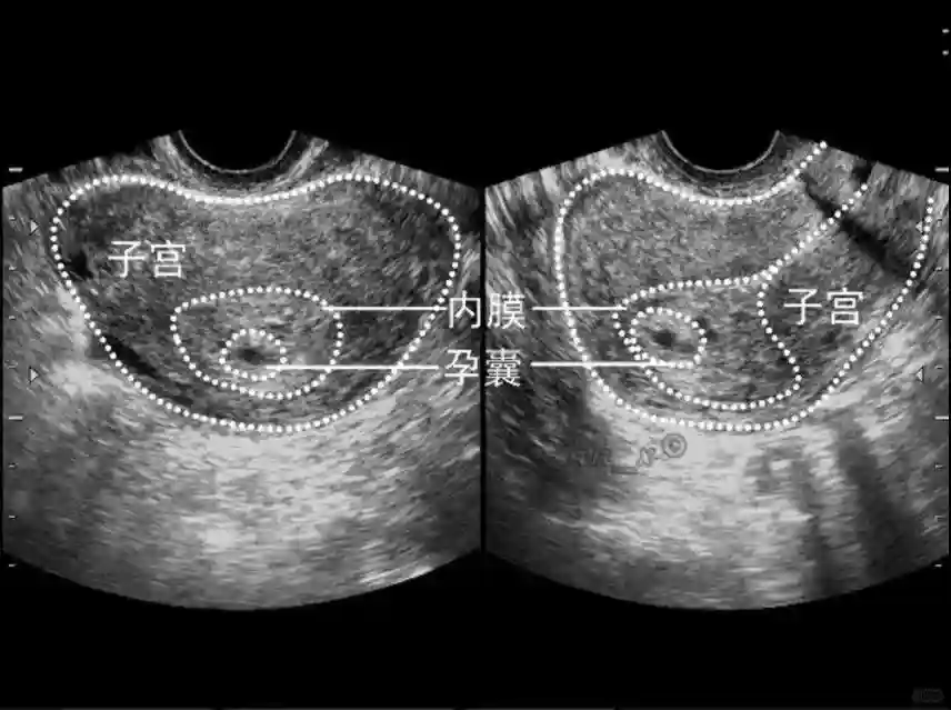
早孕早期建议采用阴道超声检查,以便早期了解胚胎发育情况,发现异常妊娠。早孕期超声是指从证实宫内妊娠到妊娠13+6周期间超声观察妊娠的情况,10周以前为胚胎,10周后为胎儿。
1??妊娠囊:早期妊娠囊:正常妊娠囊位于宫腔上段,表现为宫腔内圆形或椭圆形的无回声区,周边为完整的、厚度均匀的强回声环,强回声环厚度≥2mm,强回声是妊娠绒毛的回声,随着妊娠囊的增大,形成特征性的“双环征” ,10周以后消失。正常的妊娠囊增长速度是平均 1 mm /d。
2??卵黄囊:是妊娠囊内第一个解剖结构,直径<7mm。表现为小环状,中央为无回声,囊壁薄,内透声好。卵黄囊位于胚胎旁胚外体腔内。卵黄囊通常在孕5-6周时出现,5-10周稳步增长,一般不超过7mm,至12周消失。妊娠囊的大小与卵黄囊之间有一定关系,妊娠囊平均直径> 8 mm 时,经阴道超声均应显示卵黄囊,妊娠囊平均直径> 18 mm 时,经腹超声均应显示卵黄囊。
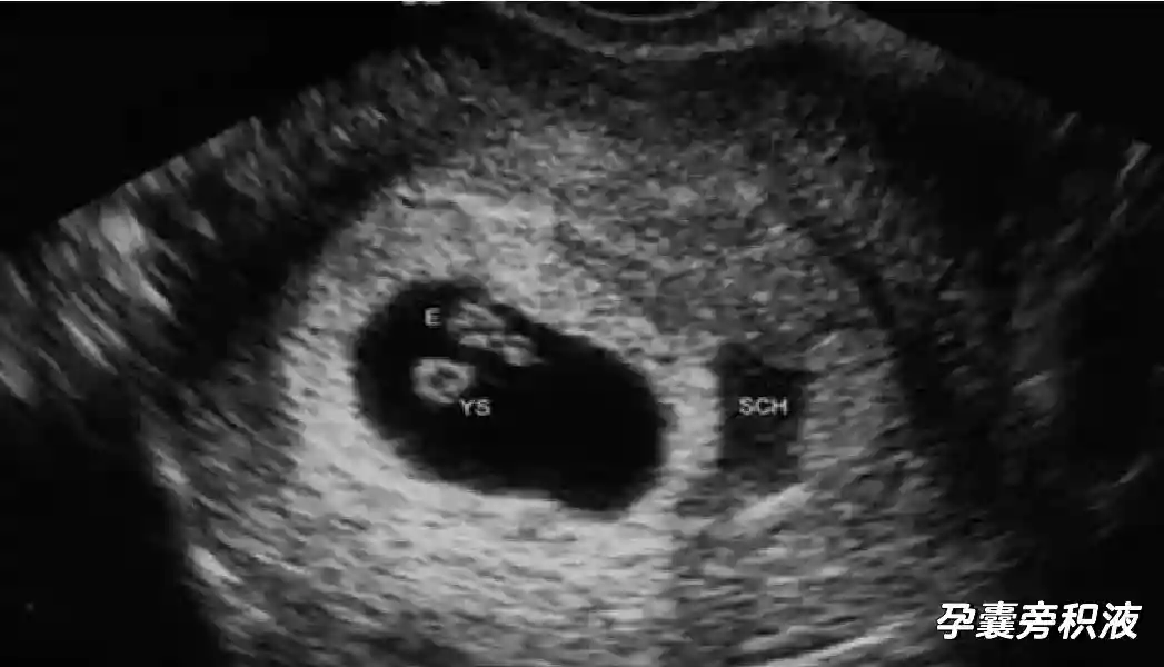
3??胚胎:胚胎通常在6-7周时可以为超声显示,起初为胎芽,表现为卵黄囊一侧局部组织增厚,达到1 -2 mm 时才有可能为超声测量出来。达4-5mm时可见胎心搏动,相应孕周为6-6.5周,妊娠囊大小为13-18mm。胚芽长度≥7㎜时仍未见心管搏动,提示胚胎停止发育。胚胎的出现和妊娠囊直径的关系:妊娠囊直径> 16 mm 时,经阴道超声应显示胚胎。妊娠囊直径> 25 mm 时,经腹超声均应显示胚胎。
4??胎心搏动:胎心搏动通常出现于6-6.5周,胚胎在4- 5mm就应该显示胎心搏动。
















5??羊膜:早孕期羊膜囊菲薄,超声常不能显示。孕7周以后加大增益或者用高频超声可以显示羊膜。羊膜囊位于绒毛膜内,胚胎位于羊膜囊内。随着胚胎增长,羊水增多,羊膜囊增大,孕12-16周时,羊膜与绒毛膜全部融合,胚外体腔消失。宫腔线一侧内膜内一圆形增强回声区,中央有小囊状液性暗区,宫腔线局部突起变形,称蜕膜内征,用于判断早早孕。
#超声 #早孕检查 #妊娠
1??妊娠囊:早期妊娠囊:正常妊娠囊位于宫腔上段,表现为宫腔内圆形或椭圆形的无回声区,周边为完整的、厚度均匀的强回声环,强回声环厚度≥2mm,强回声是妊娠绒毛的回声,随着妊娠囊的增大,形成特征性的“双环征” ,10周以后消失。正常的妊娠囊增长速度是平均 1 mm /d。
2??卵黄囊:是妊娠囊内第一个解剖结构,直径<7mm。表现为小环状,中央为无回声,囊壁薄,内透声好。卵黄囊位于胚胎旁胚外体腔内。卵黄囊通常在孕5-6周时出现,5-10周稳步增长,一般不超过7mm,至12周消失。妊娠囊的大小与卵黄囊之间有一定关系,妊娠囊平均直径> 8 mm 时,经阴道超声均应显示卵黄囊,妊娠囊平均直径> 18 mm 时,经腹超声均应显示卵黄囊。
3??胚胎:胚胎通常在6-7周时可以为超声显示,起初为胎芽,表现为卵黄囊一侧局部组织增厚,达到1 -2 mm 时才有可能为超声测量出来。达4-5mm时可见胎心搏动,相应孕周为6-6.5周,妊娠囊大小为13-18mm。胚芽长度≥7㎜时仍未见心管搏动,提示胚胎停止发育。胚胎的出现和妊娠囊直径的关系:妊娠囊直径> 16 mm 时,经阴道超声应显示胚胎。妊娠囊直径> 25 mm 时,经腹超声均应显示胚胎。
4??胎心搏动:胎心搏动通常出现于6-6.5周,胚胎在4- 5mm就应该显示胎心搏动。

















#超声 #早孕检查 #妊娠
上一篇:
家庭与父母:决定孩子一生成就的关键因素